Caso raro
- cnpzipizape
- Mensajes: 16926
- Registrado: Dom Abr 15, 2007 10:15 pm
- Ubicación: MOSTOLES (MADRID)
Re: Caso raro
Es una autentica gozada poder asistir al devenir de estos post y comprobar la excelente preparacion de muchos de vosotros en estos asuntos tan peliagudos.
Sin palabras, la verdad que me quedo boquiabierto.
Que grandes sois.
Sin palabras, la verdad que me quedo boquiabierto.
Que grandes sois.
Manuel Ignacio MARTIN SANZ....SOY PAJARERO-SILVESTRISTA, MI PASIÓN, LA CAZA-CAPTURA DE JILGUEROS. ! VIVA LA RIQUEZA DEL CANTO CAMPERO !.
Re: Caso raro
Hola compañeros! Ofu!..amigo Manuel, si tu no encuentras explicacion viendo los sintomas y analisis....ya es un caso muy complicado. Abusando de mi infinita ignorancia....se podria contemplar algo neurologico?.....Vertigo?.....mini embolia?.... Perdona mi atrevimiento y espero que siga recuperandose. Un abrazo

Re: Caso raro
Hola AntonioChapirao escribió:Hola compañeros! Ofu!..amigo Manuel, si tu no encuentras explicacion viendo los sintomas y analisis....ya es un caso muy complicado. Abusando de mi infinita ignorancia....se podria contemplar algo neurologico?.....Vertigo?.....mini embolia?.... Perdona mi atrevimiento y espero que siga recuperandose. Un abrazo
Algo neurologico es lo mas probable, dados los sintomas que tiene, pero el problema es averiguar que lo produce, desde una simple anenia, pasando por una embolia, una diabetes, hasta un tumor cerebral se podrian dar, pero en eso estamos tratando de averiguar que es lo que le pasa.......de momento no responde del todo a la vitamina-B,hoy le he incorporado un circulatorio natural, ((tanakene)) extracto de Ginkgo, a ver como responde......saludos
Re: Caso raro
Hola buenas
Bueno hoy es la primera vez que me ha dado la sensacion de que la pajarita se nos va, hoy ha amanecido sin fuerzas y controla menos que nunca.
Vista la situacion y dentro de una gran desesperacion, me he atrevido a sacarle una gota de sangre para observarla en una tincion Giemsa, y dada la alta concentracion de monocitos y linfocitos en sangre, refuerza la teoria de que se trata de un virus......pero esto lo digo desde la ignorancia, ya que no tengo mucha experiencia en hematologia patologica, solo me apoyo en algunos documentos basados en hematologia humana.
Lo unico cierto es que es una situacion muy desesperante, y me da la impresion de que se marcha sin enseñarnos mucho al respecto, y son estas situaciones las que me demuestran que hay mucho que aprender en esto de las enfermedades de nuestros pajaros, y la sensacion que me deja es que de estas cosas sé lo justo, para darme cuenta de que no se nada......saludos
Bueno hoy es la primera vez que me ha dado la sensacion de que la pajarita se nos va, hoy ha amanecido sin fuerzas y controla menos que nunca.
Vista la situacion y dentro de una gran desesperacion, me he atrevido a sacarle una gota de sangre para observarla en una tincion Giemsa, y dada la alta concentracion de monocitos y linfocitos en sangre, refuerza la teoria de que se trata de un virus......pero esto lo digo desde la ignorancia, ya que no tengo mucha experiencia en hematologia patologica, solo me apoyo en algunos documentos basados en hematologia humana.
Lo unico cierto es que es una situacion muy desesperante, y me da la impresion de que se marcha sin enseñarnos mucho al respecto, y son estas situaciones las que me demuestran que hay mucho que aprender en esto de las enfermedades de nuestros pajaros, y la sensacion que me deja es que de estas cosas sé lo justo, para darme cuenta de que no se nada......saludos
Última edición por salobreña el Mar Mar 04, 2014 3:59 pm, editado 1 vez en total.
Re: Caso raro
joder que lastima!!Espero que poco a poco coja fuerzas y salga adelante suerte salobreña con esa pajaraza!!
Re: Caso raro
lo siento, si yo pudiera te ayudaria, pero yo estoy tambien en blanco, yo estoy tratando una canaria con unos simtomas muy extraños, es un rompecabezas aveces ! saludos amigo y suerte

Mi canal Youtube
http://www.youtube.com/user/MegaPichiki?feature=mhee
Mi facebook
www.facebook.com/juanmaescupeverdades
- coroneldelinares2
- Mensajes: 1529
- Registrado: Mar Jun 18, 2013 10:49 pm
Re: Caso raro
Lo siento manuel... Espero vuelva a dar un giro y siga la evolucion...de todas formas esto pasa a cualquiera incluso a veterinarios y medicos humanos... No por compararte con ellos si no porque es asi... Tu sabes lo necesario y mucho mas para sacar cualquier pajaro adelante con los pocos medios que tienes... Pero claro esto es como todo si viene algo por derecho y dentro de nuestros medios no hay nada para saber.exactamente lo que es pues eso se puede dar el caso de que se valla y no haber podio hacer na... De todas formas si muere sabes que esto es una raya en.el agua y lo peor seria no haber dado con la.tecla y estar mas cerca del porque... Aunque este caso si se te vuelve a presentar seguro que ya tienes en mente alguna estrategia que.consideres pueda.ser.mas.efectiva. Un saludo amigo y suerte conla.pajara.salobreña escribió:Hola buenas
Bueno hoy es la primera vez que me ha dado la sensacion de que la pajarita se nos va, hoy ha amanecido sin fuerzas y controla menos que nunca.
Vista la situacion y dentro de una gran desesperacion, me he atrevido a sacarle una gota de sangre para observarla en una tincion Giemsa, y dada la alta concentracion de monocitos y linfocitos en sangre, refuerza la teoria de que se trata de un virus......pero esto lo digo desde la ignorancia, ya que no tengo mucha experiencia en hematologia patologica, solo me apoyo en algunos documentos basados en hematologia humana.
Lo unico cierto es que es una situacion muy desesperante, y me da la impresion de que se marcha sin enseñarnos mucho al respecto, y son estas situaciones las que me demuestran que hay mucho que aprender en esto de las enfermedades de nuestros pajaros, y la sensacion que me deja es que de estas cosas sé lo justo, para darme cuenta de que no se nada......saludos
[ Post made via Android ]

NO SIEMPRE EL QUE CALLA OTORGA...ES QUE A VECES NO SE TIENE GANAS DE DISCUTIR CON INVECILES.
- jose el troki
- Mensajes: 1949
- Registrado: Dom Nov 16, 2008 1:28 am
- Ubicación: MURCIA
Re: Caso raro
hola manuel te apunto por si te sirve unos parrafos de uno de los libros que tengo por casa.
La miopatia alimenticia, consiste en lesiones en la pared muscular de la molleja, y se refleja por dificultad al caminar, perdida de equilibrio, caidas enlas que le impiden levantarse,y tambien a veces por fuertes temblores,
con el nombre de tocoferoles se prepara en distintas formas la vitamina E. Estos productos sinteticos, entre ellos el alfatecoferol a doxis exiguas por via bucal, corrijen estas avitaminosis .
La miopatia alimenticia, consiste en lesiones en la pared muscular de la molleja, y se refleja por dificultad al caminar, perdida de equilibrio, caidas enlas que le impiden levantarse,y tambien a veces por fuertes temblores,
con el nombre de tocoferoles se prepara en distintas formas la vitamina E. Estos productos sinteticos, entre ellos el alfatecoferol a doxis exiguas por via bucal, corrijen estas avitaminosis .
C.N.: HH-096.
Re: Caso raro
Hola, has obtenido algún resultado satisfactorio del análisis hematológico salobreña? me gustaría saber el resultado si es posible.
Saludos.-
Saludos.-
http://www.facebook.com/aviarioelsevi.faunaeuropea
CN: 3K95
COD: E8.0808
Jilguero Mayor y Parva Ancestral y Mutado
Agata Topacio Amarillo Mosaico
Agata Amarillo Mosaico
Fife Fancy
CN: 3K95
COD: E8.0808
Jilguero Mayor y Parva Ancestral y Mutado
Agata Topacio Amarillo Mosaico
Agata Amarillo Mosaico
Fife Fancy
Re: Caso raro
Hola Josejose el troki escribió:hola manuel te apunto por si te sirve unos parrafos de uno de los libros que tengo por casa.
La miopatia alimenticia, consiste en lesiones en la pared muscular de la molleja, y se refleja por dificultad al caminar, perdida de equilibrio, caidas enlas que le impiden levantarse,y tambien a veces por fuertes temblores,
con el nombre de tocoferoles se prepara en distintas formas la vitamina E. Estos productos sinteticos, entre ellos el alfatecoferol a doxis exiguas por via bucal, corrijen estas avitaminosis .
Ciertamente los sintomas que comentas coinciden bastante, a ecepcion de los temblores, asi que lo tendre en cuenta, muchas gracias.
La cuestion es que me cuesta pensar que el problema sea de dieta, por lo que si se tratara de una carencia, mas bien lo achacaria a un problema metabolico, de todas formas esta tomando vitamina E desde mediados de enero dos veces por semana como todos los demas.
No ha habido cambios desde ayer a hoy sigue controlando de cuello para arriba perfectamente, pero no contola las alas ni las patas, ya ire explicando……saludos
Re: Caso raro
Hola el sevielsevi escribió:Hola, has obtenido algún resultado satisfactorio del análisis hematológico salobreña? me gustaría saber el resultado si es posible.
Saludos.-
Bueno en realidad lo que yo hago, no podria llamarlo anilisis hematologico, puesto que no estoy preparado ni capacitado para ello......hago observaciones de heces y en raras ocasiones como esta, de una extension sanguinea en tincion Giemsa.
Lo que he podido observar en el frotis se sangre, es que hay una alta concentracion de leucocitos todos muy deteriorados y casi sin citoplasma, sobretodo de linfocitos y monocitos, y por eso comentaba anteriormente, que es muy posible de que se trate de un virus, ya que son estos ultimos los que normalmente se aumentan su numero, cuando entra algun virus en sangre.
Posiblemente en unos dias si no mejora volvere a hacer otra y hare fotos para pasarlas por aqui, pues esta vez con el desanimo ni siquiera me acorde de hacer una puñetera foto.......saludos y gracias
- kikee
- Mensajes: 16465
- Registrado: Lun Mar 07, 2011 6:16 pm
- Ubicación: san fernando de henares (madrid)
- Contactar:
Re: Caso raro
gracias salobreña por seguir informando, esperemos se recupere, un abrazo amigo
VISITA MI PAGINA WEB: http://todosilvestrismokike.es.tl/Principal.htm
BAYCOX 2.5%, DERIBADO DE PULMOSAN
Re: Caso raro
Hola Buenas
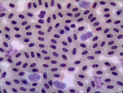
Bueno la jilguera no tardara mucho en dejarnos, su paraslisis ha ido acentuandose poco a poco hasta el punto que ya no se alimenta.......en los tres ultimos dias solo come lo que yo le doy con una sonda, y bebe solo cuando le acerco el bebedero, tambien se ha deteriorado mucho su aparato respiratorio y su digestion cada vez es mas deficiente no creo que dure mucho mas.
De momento no ha arrojado ningun tipo de patogeno, y los leucocitos que se aprecian en su sangre casi siempre son monocitos o linfocitos muy deteriorados, casi sin citoplasma y con un nucleo bastante grande y su citoplasma no presenta ningun signo de fagocitosis, almenos visible......sigo pensando de que se trata de un virus,aunque a veces debato esa teoria con la de un problema metabolico de herencia genetica.
Las primeras fotos que os dejo son de unas observacion de su sangre, la ultima es de una muestra de heces, donde se aprecian celulas de almidon mas o menos circulares sin digerir ((con aspecto de culo de vaso)) y los cantos rodados mas pequeños que ocupan toda la muestra tambien es almidon mal digerido.....saludos
PD: ya no esta en jaula, pues no se sostiene, esta en una caja de carton con teperatura y con agua y comida a la altura, pero no la utiliza.
Bueno la jilguera no tardara mucho en dejarnos, su paraslisis ha ido acentuandose poco a poco hasta el punto que ya no se alimenta.......en los tres ultimos dias solo come lo que yo le doy con una sonda, y bebe solo cuando le acerco el bebedero, tambien se ha deteriorado mucho su aparato respiratorio y su digestion cada vez es mas deficiente no creo que dure mucho mas.
De momento no ha arrojado ningun tipo de patogeno, y los leucocitos que se aprecian en su sangre casi siempre son monocitos o linfocitos muy deteriorados, casi sin citoplasma y con un nucleo bastante grande y su citoplasma no presenta ningun signo de fagocitosis, almenos visible......sigo pensando de que se trata de un virus,aunque a veces debato esa teoria con la de un problema metabolico de herencia genetica.
Las primeras fotos que os dejo son de unas observacion de su sangre, la ultima es de una muestra de heces, donde se aprecian celulas de almidon mas o menos circulares sin digerir ((con aspecto de culo de vaso)) y los cantos rodados mas pequeños que ocupan toda la muestra tambien es almidon mal digerido.....saludos
PD: ya no esta en jaula, pues no se sostiene, esta en una caja de carton con teperatura y con agua y comida a la altura, pero no la utiliza.

