analisis

Aquí expondremos las dudas sobre las enfermedades que pueden padecer nuestras aves y como prevenirlas o en el peor de los casos curarla.
Responder
Mensaje
Autor
dani25
Mensajes: 162
Registrado: Vie Feb 04, 2011 2:52 am

analisis

#1 Mensaje por dani25 »

Aver si me.podeis decir qe es.gracias

[ Post made via Android ] Imagen
Adjuntos
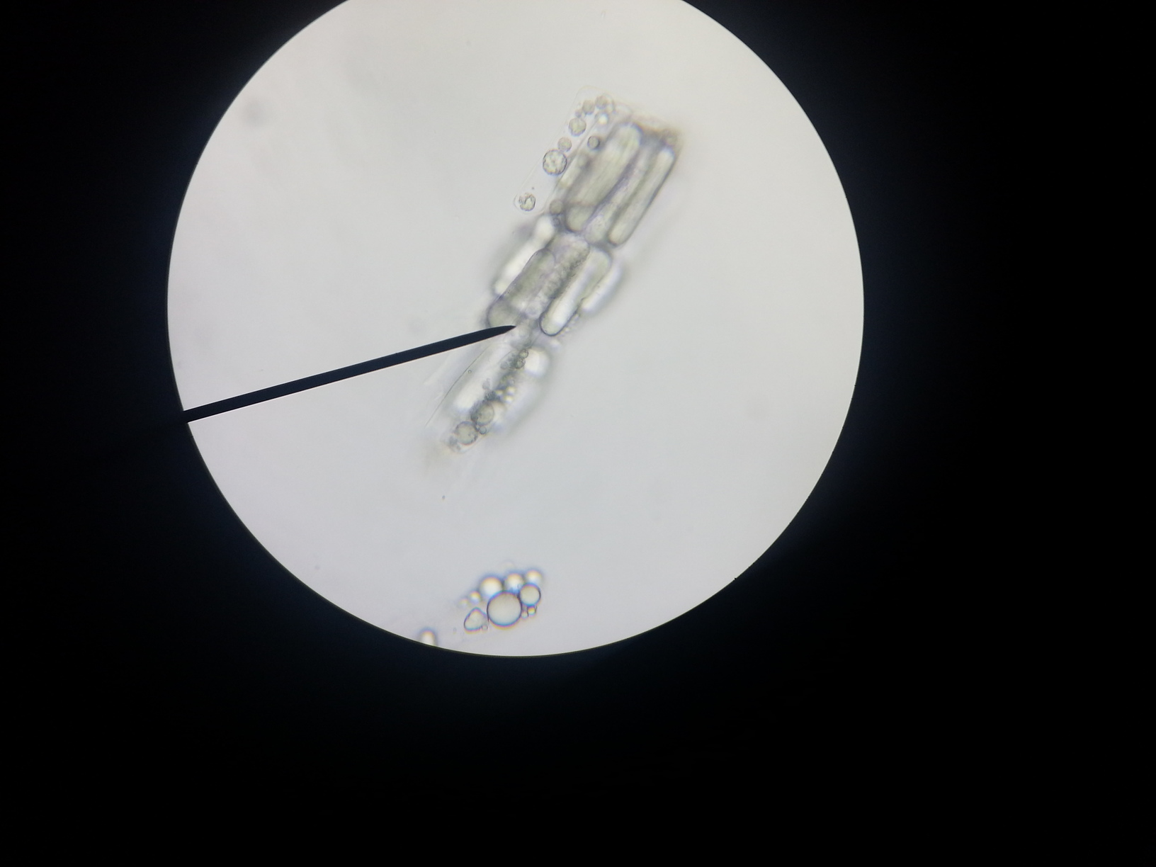
Aki os dejo un analisis aver si veis algo en esto tan raro qe encontre
Aki os dejo un analisis aver si veis algo en esto tan raro qe encontre
20130322_201019.jpg (238.73 KiB) Visto 752 veces
Avatar de Usuario
salobreña
Mensajes: 4392
Registrado: Jue Nov 19, 2009 3:07 pm
Ubicación: barcelona

Re: analisis

#2 Mensaje por salobreña »

Hola Dani

Eso que se ve en las fotos son celulas vegetales......intenta poner las fotos en el post que hay abierto en este mismo subforo......saludos
Imagen

NUNCA ERES DUEÑO DE UN SER
VIVO....SOLO ERES SU RESPONSABLE!!
F.O.C.D.E
CN-GO-69
dani25
Mensajes: 162
Registrado: Vie Feb 04, 2011 2:52 am

Re: analisis

#3 Mensaje por dani25 »

Lo hare mal x qe me meto en la ultima pagina de dixo apartado salobreña y me pone el nuevo tema aki lo mirare mas despacio.gracias x aclararmelo .

[ Post made via Android ] Imagen
Responder