Página 67 de 80
Re: Fotos de análisis Coprológicos de nuestas aves.
Publicado: Mar Feb 04, 2014 7:55 pm
por JUA
salobreña escribió:Hola Jua
Hace dos dias que observo tu fotos sin llegar a conclusiones......vamos por partes......sinceramente Jua, no son las fotos a las que ultimamente me tenias acostumbrado, los frescos estan demasiado oscuros sin posibilidad de definir nada, no se si has coloreado la muestra si lo has hecho las prefiero sin ningun colorante.
Veo en el fondo de los frescos algunos objetos brillantes desenfocados, y no se si te refieres a eso como las levaduras, pero yo desde aqui no puedo verlas con claridad, deberias haber hecho alguna foto bien enfocada.......desde luego e insisto que si es a eso a lo que te refieres con levaduras, no se trata de lo mismo que las fotos de las tinciones, puesto que son de mayor tamalño en los frescos que en las tinciones, y eso no es posible, ya que en una tincion y con objetivo de 100x, deberian verse el doble de grandes que en los frescos, y en este caso y si mi vista no me falla ocurre al reves.
Las tinciones tampoco tienen protocolo Gram, o almenos asi me lo parece, y esto es una cosa que tenemos que arreglar Jua, porque si no la lectura de las fotos se hacen muy dificil, por lo menos para el que no ha visto la muestra en directo.
Despues de darle muchas vueltas, si me parecen levaduras lo de las tinciones, aunque son tan pequeñas que me has costado decidirme, porque a simple vista pareces agrupaciones de cocos, pero por sus poses y la formas de gemacion me inclino por levaduras, que por cierto no son tipo candidas, pues parecen ascoesporas, y las candidas no hacen este tipo de repruducion.
Jua, no me falles que lo estabas haciendo bastante bien, y estas fotos tu puedes mejorarlas......un abrazo
PD:LLama cuando estes libre y hablamos de este pajaro.
Hola MANUEL las dos fotos de la muestra humeda están un poco oscuras porque le puse el filtro de color negro pero que ami parecer les da alas levaduras una brillanto que ami parecer las diferencia del resto micro organismos o al menos es lo que ami me ha parecido en difentes
análisis que hice de todas maneras las próximas que le haga al mismo canario para ver si va mejorando con el tratamiento lo hare de la forma tradicional que se veran mas claras para ver las diferencia .
la tinción de GRM la verdad como usted me dice no salio bien quizás falle en el decolorante que fue insuficiente ,un saludo amigo MANUEL
Re: Fotos de análisis Coprológicos de nuestas aves.
Publicado: Mié Feb 05, 2014 11:16 pm
por bensliman
Ok Manuel muchas gracias x tu gran recomendación y sobre lo del zoom lo intentare hacerlo. Decirte q estas imagines se trata de otro pájaro en esta ocasión es de un híbrido de canaria con jilguero. Un saludo a todos gracias
Re: Fotos de análisis Coprológicos de nuestas aves.
Publicado: Vie Feb 07, 2014 1:58 pm
por salobreña
Hola
Os dejo una foto de un ooquiste de coccidio recien excretado......por mi experiencia personal solo son dos especies de coccidios los que atacan a nuestros fringilidos, una es isospora canaria, y otra isospora serini.......en la primera sus ooquistes suelen medir de 25 a 30 micras de diametro y la segunda de 18 a 20 micras.
El de la foto mide exactamente 20 micras, por lo que se convierte en sospechoso de isospora serini, responsable de atoxoplasmosis, aunque ciertamente eso nunca se podria asegurar, con tan pocos datos.....saludos

- TS_02_03_10_34_22.jpg (22.3 KiB) Visto 5119 veces
Re: Fotos de análisis Coprológicos de nuestas aves.
Publicado: Sab Feb 08, 2014 4:59 pm
por mlopez
hola sigo intentandolo bueno a ver si he sido capaz de hacer algo,tengo unas preguntillas y de nuevo intentare a divinar lo que creo que veo de nuevo lo de las fotos es un problema que tengo que solucionar no se ajustan a lo que veo ni el color nila claridad.un saludooo.
Re: Fotos de análisis Coprológicos de nuestas aves.
Publicado: Sab Feb 08, 2014 5:18 pm
por mlopez
Alguna mas seria otra vez de lo que parecen coccidios que no son se ven muchos circulitos blancos que parecen levaduras,y unoa huevos de parasitos siempre segun mi nula experiencia jajaja,ah las muestras fueron cogidas intruduciendo una torunda esteril en la cloaca como a los peerros y añadiendo una gota de agua purificada.
Re: Fotos de análisis Coprológicos de nuestas aves.
Publicado: Sab Feb 08, 2014 10:06 pm
por salobreña
Hola
mlopez, nada de nada, mañana te explico que hoy se me ha hecho tarde......saludos
Re: Fotos de análisis Coprológicos de nuestas aves.
Publicado: Sab Feb 08, 2014 10:39 pm
por mlopez
Jaja graciasss
[ Post made via Windows Smartphone ] 
Re: Fotos de análisis Coprológicos de nuestas aves.
Publicado: Dom Feb 09, 2014 8:57 pm
por salobreña
mlopez escribió:Jaja graciasss
[ Post made via Windows Smartphone ] 
Hola mlopez
Bueno en primer lugar, y antes de que se me olvide.......el cabezal de micro le puedes dar la posicion que mejor se adapte a ti, dentro de 360 grados.....intenta girarlo y si no rula suave es porque tiene apretado el tornillo fijador que hace de freno......en la foto no lo veo, asi que ha de estar en la otra cara de la foto, este tornillo se manipula a mano, nunca con herramientas.....afloja ese tornillo y el cabezal girara con facilidad, le pones en la posicion que mas te guste y luego vuelves a apretarlo con los dedos suavemente.
En otro orden, sigo pensando que el objetivo con el que haces estas fotos, que imagino que es el de 40x, sigue estando manchado con restos de colorante por alguna inmersion no adecuada por su antiguo dueño, eso hace que fuerces mucho la iluminacion y algunas fotos salen quemadas por exceso de luz.
En cuanto a las fotos la 1,2 y 3 solo hay urea, cristales de uratos, esto lo veras en todas las muestras muy muy a menudo.
La cuarta foto donde tu ves coccidios, no lo son se trata de lo mismo urea y mas urea.......los quistes de coccidios en palomas son del genero eimeria, y cuando veas aguno los veras mas o menos de este tamaño y minimamente con esta claridad

- TS_03_20_15_09_10.jpg (18.13 KiB) Visto 5135 veces
este ooquiste es de paloma y tu micro ha de verlo mas o menos asi.
La quinta foto son pieles vegetales y alguna fibra, posiblemente de algodon.
La seis, siete y ocho, es puramente vegetal......en la novena foto hablas de hongos, pues no lo se no la veo con claridad, pero pudieran ser algunas esporas de un moho, pero no lo veo bien........ en la foto once doce y la tres aparecen unos critales de no se que, pero esas formas, con esas perfilaciones en los extremos semiromboides para mi son algun tipo de cristal, seguramente precipitados por alguna reaccion quimica entre las secrecciones acidas del buche o de las heces de la paloma y algun reactivo que hayas usado en la muestra, como estos que te dejo aqui.......perdonad la calidad de las fotos, pero es que en aquel tiempo hacia lo que podia con el material que tenia.

- Imagen 068.jpg (6.13 KiB) Visto 5135 veces

- Imagen 067.jpg (5.93 KiB) Visto 5135 veces
y la 13 y 14, solo son pieles vegetales y uratos de nuevo......saludos
Re: Fotos de análisis Coprológicos de nuestas aves.
Publicado: Dom Feb 09, 2014 9:59 pm
por mlopez
Muchas gracias asi puedo ir descartando cosas pero llevo ya muestras de tres palomares y no veo nada ajjjaaj algo falla y creo que es la psicosis a las que nos someten las casas comerciales para que creamos que los animales siempre estan enfermos hay gente que da una cantidad de preventivos que no veas y yo no soy capaz de encontrar nada ni una tricomona y llevo años viendo los excrementos verdes de por la noche y asustado con las enfermedades gracias de nuevoooo a todos y en especial a tiiii.
Re: Fotos de análisis Coprológicos de nuestas aves.
Publicado: Lun Feb 10, 2014 9:31 pm
por salobreña
mlopez escribió:Muchas gracias asi puedo ir descartando cosas pero llevo ya muestras de tres palomares y no veo nada ajjjaaj algo falla y creo que es la psicosis a las que nos someten las casas comerciales para que creamos que los animales siempre estan enfermos hay gente que da una cantidad de preventivos que no veas y yo no soy capaz de encontrar nada ni una tricomona y llevo años viendo los excrementos verdes de por la noche y asustado con las enfermedades gracias de nuevoooo a todos y en especial a tiiii.
Hola mlopez
Los escrementos verdes en pajaros sanos, solo representan un ayuno prolongado.......almenos en canarios y en jilgueros siempre ha sido asi, las primeras deposiciones de la mañana, tienen un color verde intenso y gelatinoso, imagino que en palomos es igual........cuando los pajaros duermen logicamente no se alimntan, pero su bilis sigue funcionando aunque en menor medida, y el resultado a la mañana siguiente son haces cargadas de bilis, con un color verde intenso y muy gelatinoso, esto es muy normal........eso dejara de ser asi a medida que el pajaro cobra actividad, pero si ese color se perpetua puede indicar un problema de higado.
Tambien los dias de lluvia, a pesar de que los pajaros en cautividad no suelen mojarse, reducen su actividad, y esto puede dar tambien haces algo verdes aunque no tan verdes como las predecidas por un largo ayuno......saludos
PD: tambien cuando un pajaro se esta medicando, se puede disparar la secrecion de la bilis y dar unas heces mas verdes de lo normal.
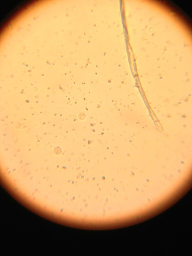
Re: Fotos de análisis Coprológicos de nuestas aves.
Publicado: Mié Feb 12, 2014 2:12 pm
por bensliman
Hola buenas q tal? podrían ayudarme q es lo q puede tener mi jilguero gracias

- ImageUploadedByTapatalk1392210760.368481.jpg (41.07 KiB) Visto 5113 veces
Re: Fotos de análisis Coprológicos de nuestas aves.
Publicado: Mié Feb 12, 2014 9:13 pm
por salobreña
Hola bensliman
Los dos objetos que hay en el centro de la foto, son celulas vegetales, por lo demas no se aprecia nada con claridad ni siquiera ampliando la foto.....saludos
Re: Fotos de análisis Coprológicos de nuestas aves.
Publicado: Mié Feb 12, 2014 11:33 pm
por bensliman
Muchas gracias Gran amigo un saludo para todos...!
Re: Fotos de análisis Coprológicos de nuestas aves.
Publicado: Jue Feb 13, 2014 9:59 am
por bensliman
Hola B días todavía tengo a mi jilguero con síntomas de Malestar , le acabo de hacer unas fotos de sus heces, darme vuestra opinión. Gracias

- ImageUploadedByTapatalk1392281981.800231.jpg (20.68 KiB) Visto 5126 veces

- ImageUploadedByTapatalk1392281993.383142.jpg (25.43 KiB) Visto 5126 veces
Re: Fotos de análisis Coprológicos de nuestas aves.
Publicado: Jue Feb 13, 2014 10:07 am
por bensliman
Aquí os dejo más fotos, de las mismas heces.

- ImageUploadedByTapatalk1392282429.884946.jpg (26.36 KiB) Visto 5123 veces