Página 37 de 80
Re: Fotos de análisis Coprológicos de nuestas aves.
Publicado: Jue Jun 06, 2013 7:11 pm
por salobreña
Pedro J escribió:Ufff supongo que una vez lo sabes es fácil darte cuenta,el que no lo sepa ni lo aprecia jejeje,saludos.
Efectivamente Pedro, por eso siempre he dicho que ver bacterias en fresco, no es nada facil.....saludos
Re: Fotos de análisis Coprológicos de nuestas aves.
Publicado: Jue Jun 06, 2013 7:28 pm
por salobreña
JUA escribió:resultado de un analisis de herces a un pajaro que lo notaba un poco parado y como un poco embolado
Jua, veo tus muestras muy limpias, no veo los clasicos uratos tan representativos en este tipo de muestras ((que quitas la parte blanca de la caca??)) y me da la impresion que no depositas en el porta una muestra equitativa y equilibrada, que represente el contenido de la muestra, y si fuese asi es dificil hacer un balance de lo que estas viendo.
Luego me la impresion tambien de que agregas algun colorante a la muestra......esto no esta mal, pero puede confundirnos a la la hora de ver la foto, ya me gustaria saber que son esos puntitos.
Me gustaria que cuando se trate de una muestras de heces de un pajaro, verlas con todo su contenido real ((otra cosa es que tu centres la atencion en una u otro cosa)) porque estoy tan acostumbrado a eso que me cuesta leer las fotos de otra manera......saludos

- TS_05_28_13_58_34.jpg (46.08 KiB) Visto 2822 veces
Re: Fotos de análisis Coprológicos de nuestas aves.
Publicado: Jue Jun 06, 2013 10:02 pm
por dani25

- IMG-20130606-WA0028.jpg (18.31 KiB) Visto 2820 veces
qe puede ser yo ni idea peronnada bueno no?
[ Post made via Android ] 
Re: Fotos de análisis Coprológicos de nuestas aves.
Publicado: Jue Jun 06, 2013 10:53 pm
por herminio
vosotros k sois pajareros o biologos, flipo
Re: Fotos de análisis Coprológicos de nuestas aves.
Publicado: Vie Jun 07, 2013 8:22 am
por Pedro J
Hola Dani,es la primera vez que veo algo asi,haber si Manuel te comenta algo y pudiera ser algun tipo de hongo,no lo se,saludos.
Re: Fotos de análisis Coprológicos de nuestas aves.
Publicado: Vie Jun 07, 2013 10:34 pm
por salobreña
dani25 escribió:IMG-20130606-WA0028.jpg
qe puede ser yo ni idea peronnada bueno no?
[ Post made via Android ] 
Hola Buenas
Esto creo que es una cria de pulpo, no??......bueno es broma, sinceramente no se que es, he visto algunos hongos crecer en forma de estrella, pero esto no tiene estructura fungica, o almenos asi lo creo, para mi pudiera ser algun tipo de vellocidad vegetal, pero tampoco lo puedo asegurar, pero si te pido tranquilidad, no creo que sea algo que pueda afectar a los pajarillos, y en el caso de pudiera ser algun tipo de hongo filamentoso ((que no lo creo)),posiblemente se trate de una contaminacion, ya nos contaras si se trata de una muestra de heces de pajaro y sobretodo si es de una muestra fresca, y tambien es importante que nos comentes a cuantos aumentos esta hecha la muestra......saludos
Re: Fotos de análisis Coprológicos de nuestas aves.
Publicado: Vie Jun 07, 2013 10:45 pm
por dani25
Hola buenas a todos y gracias x todo .las hrces son hechas na mas ke caga el.pajaro estoy hay con lamlanza jajajajajja y los amentos estan hechos al.maximo x 400 aumentos .
[ Post made via Android ] 
Re: Fotos de análisis Coprológicos de nuestas aves.
Publicado: Vie Jun 07, 2013 10:58 pm
por salobreña
Hola
Bueno, como te digo creo que pudiera ser algun tipo de vellocidad vegetal, o una contaminacion de la muestra, si ves algo mas pasalo por aqui intentaremos averiguar que es, de todas formas no te preocupes, no veo que eso tenga que hacer daño al pajaro.....saludos
Re: Fotos de análisis Coprológicos de nuestas aves.
Publicado: Sab Jun 08, 2013 11:45 pm
por dani25

- IMG-20130606-WA0021.jpg (19.21 KiB) Visto 2796 veces
Muxas gracias todos , si salobrena la tengo aparte en un hospital aver como va en estos dias de momento no se si le ara daño al pajaro pero llevo dos dias pensandole y esta adegazando y x muxo qe mire no la veo nada solo eso qe aparecio en una muestra , la tengo con antibiotico por lo menos la tendre asi 4 dias mas de lo ke lleva aver si en estos dias.mejora un poko.gracias a todos
[ Post made via Android ] 
Re: Fotos de análisis Coprológicos de nuestas aves.
Publicado: Dom Jun 09, 2013 1:55 pm
por salobreña
dani25 escribió:IMG-20130606-WA0021.jpg
Muxas gracias todos , si salobrena la tengo aparte en un hospital aver como va en estos dias de momento no se si le ara daño al pajaro pero llevo dos dias pensandole y esta adegazando y x muxo qe mire no la veo nada solo eso qe aparecio en una muestra , la tengo con antibiotico por lo menos la tendre asi 4 dias mas de lo ke lleva aver si en estos dias.mejora un poko.gracias a todos
[ Post made via Android ] 
Hola
No se que puede tener el pajaro, pero estate seguro que lo de la foto no es el problema, eso no tiene para nada estructura fungica, ni parasitaria, y mucho menos bacteriana.
Como ya te dije anteriormente eso para mi es una vellocidad, de alguna semillas o de alguna verdura que haya comido el pajaro, sin descartar una contaminacion.......su nombre tecnico seria tricoma, y apesar de ese nombre asustadizo, no hay problema con ello, asi que sigue buscando que eso no es el problema((si necesitas una mano solo tienes que decirlo))
No se que es lo que tienes en el fondo de la jaula enfermeria, seguro que es algun tipo de material para fondos, pero sea lo que sea, las muestras no se pueden recoger de ahi, ya que se contaminan al instante......cuando se hace recogida de una muestra la plataforma ha de estar limpia y desinfectada, porque si no la muestra no es valida, y mucho menos para envio de muestras a tu veterinario.....saludos
Re: Fotos de análisis Coprológicos de nuestas aves.
Publicado: Dom Jun 09, 2013 3:39 pm
por Pedro J
Hola,pues como te dice Manuel,lo mejor es coger una muestra fresca y probar de nuevo haber que sale de dicha muestra,coloca un papel en la bandeja y ese mismo día recoge heces que seguro que en muy breve las obtienes y así proceder los mas urgente posible a esos análisis.
Una vez tengas los analisis hechos con sus fotos claras ponlos aquí y entre todos podremos dar con un diagnostico y proceder a intentar salvar el pajarillo,saludos.
Re: Fotos de análisis Coprológicos de nuestas aves.
Publicado: Jue Jun 13, 2013 8:13 am
por dani25
hola de verdad gracias por compartir vuestra sabiduria y consejos gracias.igualmente para lo que pueda salobrena y demas ,bueno en el fondo de la jaula le pichasteis con biruta de papel se la suelo cambiar cuando al ejemplar le pongo una banera de interior luego se lo cambio x papel de cocina para podeerr cojer la heces.de todas formas le e repetido la prueba de momento no lo e vuelto aver,como bien dicen los companeros puede ser de algun alimento yo los alimentos todoooos lostrato con amokina la verdad se colaria jjjjjj bueno no es nada grabe por lo qe se ve. gracias a todos un saludo y suerte.
Re: Fotos de análisis Coprológicos de nuestas aves.
Publicado: Vie Jun 14, 2013 8:14 pm
por salobreña
dani25 escribió:hola de verdad gracias por compartir vuestra sabiduria y consejos gracias.igualmente para lo que pueda salobrena y demas ,bueno en el fondo de la jaula le pichasteis con biruta de papel se la suelo cambiar cuando al ejemplar le pongo una banera de interior luego se lo cambio x papel de cocina para podeerr cojer la heces.de todas formas le e repetido la prueba de momento no lo e vuelto aver,como bien dicen los companeros puede ser de algun alimento yo los alimentos todoooos lostrato con amokina la verdad se colaria jjjjjj bueno no es nada grabe por lo qe se ve. gracias a todos un saludo y suerte.
Hola
A ver Dani, lo que se ve en tu foto no es que sea grave ni deje de serlo, es simplemente, que no es nada que pueda perjudicar a los pajaros y como te he dicho anteriormente creo que se trata de una vellocidad((tricoma)) y si no te lo aseguro es porque ese campo es tan largo y tan variado como plantas pueda haber en el planeta, y yo ni siquiera soy aficionado a la botanica, pero estate seguro de que se trata de un tricoma…….lo patogenos que afectan a huetras aves, estaban ya fichados antes de que nacieramos tu y yo, y no hay motivos para inventarnos enfermedades nuevas, estas son las que son y son las que hay, y si nos basamos en eso iremos bien, y si nos basamos en dar medicamentos cada vez que vemos algo que no conocemos vamos mal.
No se que dices de la ¨¨pichateis¨¨, porque no veo motivos para que nadie la espische ni la cage, puesto que lo unico que se te ha recomendado, es que cuando necesites una muestra no puedes ni debes cojerla de ese fondo, y ahora tambien te aconsejo que no pongas papel de cocina absorvente, por que absorberá los liquidos, que en la mayoria de los casos conviene que esos liquidos enten en la muestra a observar.
Os dejo unas fotos recogida de Internet concretamente de tricomas…….ninguno de ellos es como el de la foto de Dani, porque saber a que planta pertenece ese tricoma, es trabajo arduo, puesto que hay de tantas formas y composiciones como plantas existen, pero nos valen para ver por donde van los tiros……saludos

- images.jpg (2.79 KiB) Visto 3415 veces

- images (1).jpg (3.32 KiB) Visto 3415 veces

- images (2).jpg (2.83 KiB) Visto 3415 veces

- images (3).jpg (2.37 KiB) Visto 3415 veces

- images (4).jpg (2.92 KiB) Visto 3415 veces

- images (5).jpg (6.98 KiB) Visto 3415 veces

- images (6).jpg (2.99 KiB) Visto 3415 veces

- images (7).jpg (2.97 KiB) Visto 3415 veces

- images (8).jpg (3.17 KiB) Visto 3415 veces

- images (10).jpg (2.61 KiB) Visto 3415 veces
Re: Fotos de análisis Coprológicos de nuestas aves.
Publicado: Vie Jun 14, 2013 8:57 pm
por Pedro J
Hola Manuel,estupenda información amigo,nos vendrá bien por si un dia tenemos que identificarlo en alguna contaminación o de mas.
saludos.
Clostridiun.spp
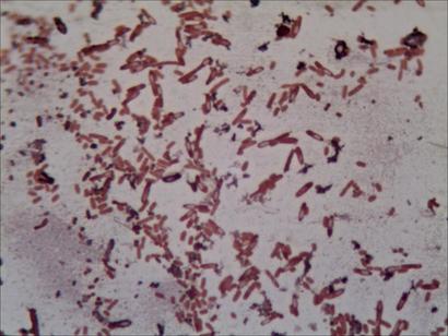
Publicado: Lun Jun 17, 2013 9:52 pm
por salobreña
Hola buenas
Os dejo una foto de Clostridium.spp......este tipo de bacterias es bastante facil de reconocer, algunas especies de esta bacteria se presentan con un encapsulamiento (( yo le llamo ojo de aguja)) bastante visible.......son unas bacterias que vistas en fresco, son muy moviles y se desplazan a gran velocidad.
Tiñen en gram+ pero las de la foto no han teñido bien, ya que la ultima fabricacion que he hecho del cristal violeta, no me ha quedado bien.....varias especies de esta bacteria pueden afectar a nuestras aves,((Clostridiosis)) la mas frecuente, Clostridiun perfringes.......saludos

- TS_06_05_15_04_56.jpg (24.67 KiB) Visto 3391 veces

- Clostridium_botulinum.jpg (15.34 KiB) Visto 3391 veces