Página 77 de 80
Re: Fotos de análisis Coprológicos de nuestas aves.
Publicado: Jue Jul 24, 2014 11:16 am
por JUA
gracias MANUEL por su respuesta respecto a su falta de tiempo ,lo primero es lo primero ,un saludo amigo MANUEL.
Re: Fotos de análisis Coprológicos de nuestas aves.
Publicado: Sab Ago 23, 2014 4:28 pm
por salobreña
Hola
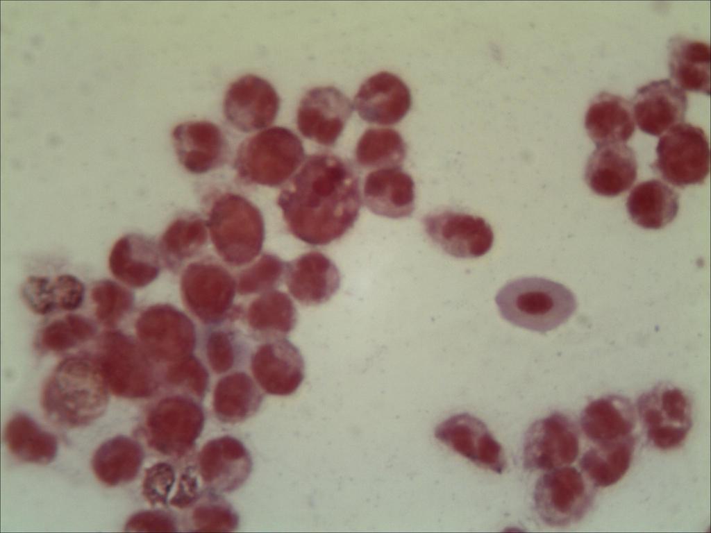
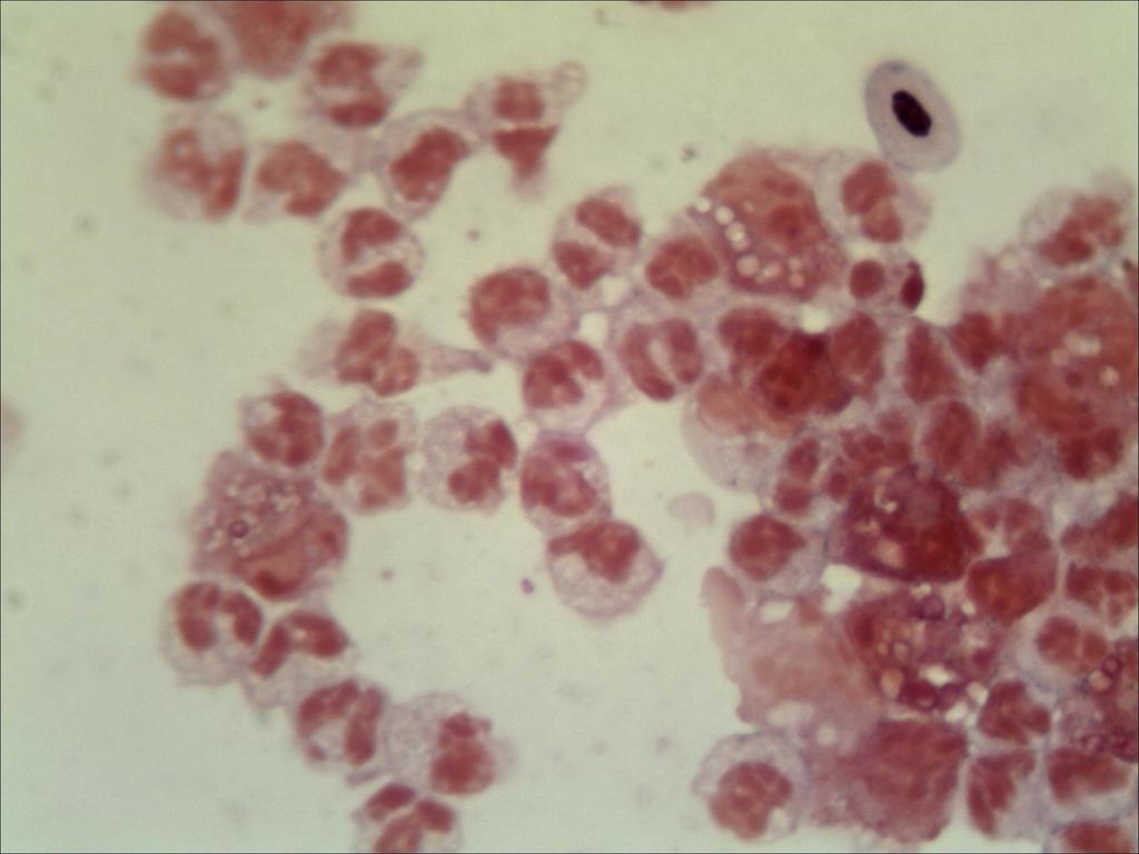
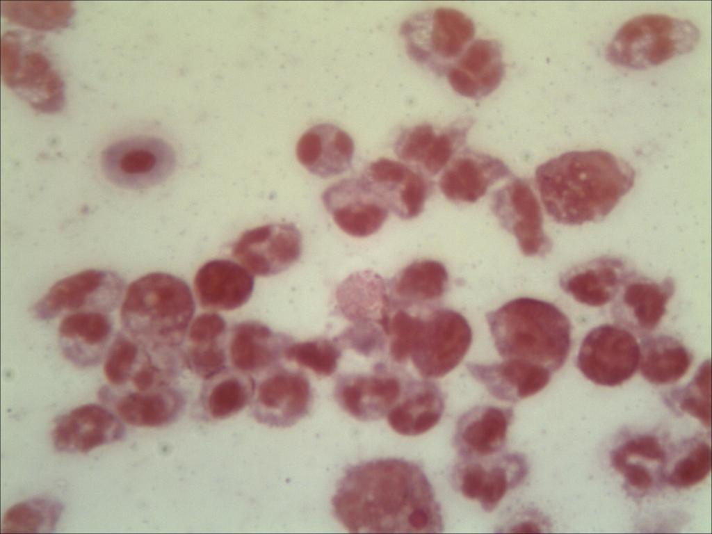
Os dejo unas fotos antiguas, de hace un par de años o mas.....nunca las habia puesto en el foro por la mala calidad de las mismas, pero ahora las pongo a peticion de Ivan Pesca, que quiere verlas y tenerlas......os cuento la hitoria.
Son fotos de un muestreo que se le hizo a una canaria con una herida infectada por arriba de una ceja.......las fotos pertenecen a una tincion Gram, que no es una tincion adecuada para observar celulas sanguineas, pero en aquellos momentos solo andaba buscando el agente causal de la infeccion y por eso se escogio este tipo de tincion........lo que se ve en las fotos es una alta concentracion de leucocitos((globulos blancos)) algunos deformados por la batalla defensiva y otros con mejor aspecto.
Creo que nunca encontre el, o los patogenos que provocaron la infeccion, pues solo pude ver algun grupo de levaduras que se muestran en la ultima foto, pero creo que estas no fueron las causantes......las fotos no son muy buenas, pero quizas en otras ocasiones, haciendo un recuento de las clases o tipos de leucocitos encontrados, se pudiera discernir, si el causante de la infecion es unas bacterias virus o algun tipo de hongos, pero como digo las fotos no son las adecuadas para eso......saludos

- TS_11_15_22_39_53.jpg (17.5 KiB) Visto 10505 veces

- TS_04_21_14_25_19.jpg (47.38 KiB) Visto 10505 veces

- TS_04_21_14_18_10.jpg (57.61 KiB) Visto 10505 veces

- TS_04_21_13_45_21.jpg (52.37 KiB) Visto 10505 veces

- TS_11_15_22_12_48.jpg (22.28 KiB) Visto 10505 veces
Re: Fotos de análisis Coprológicos de nuestas aves.
Publicado: Sab Ago 23, 2014 8:22 pm
por NOVATO08
Gracias Don Manuel por las fotos sobretodo de la ultima que me servirá como referencia para reconocer levaduras ya que de momento lo que tengo identificado es mínimo.
saludos
Re: Fotos de análisis Coprológicos de nuestas aves.
Publicado: Lun Sep 15, 2014 11:07 pm
por salobreña
Hola Buenas
Cuidado con la coccidiosis en esta epoca.......en los finales del verano y principios del otoño se dan unas condiciones de temperatura y humedad muy propicias para la profileracion de enfermedades, sobretodo la coccidiosis, os dejo unas fotos de ooquistes de coccidio......la ultima foto pareciera que no lo son, y que pudieran ser algun tipo de polen, pero la realidad es que estan embutidos en una nebulosa vegetal, que no deja ver con claridad......saludos

- TS_09_15_19_44_41.jpg (68.71 KiB) Visto 10437 veces

- TS_09_15_19_48_26.jpg (82.88 KiB) Visto 10437 veces

- TS_09_15_19_52_35.jpg (108.84 KiB) Visto 10437 veces
Re: Fotos de análisis Coprológicos de nuestas aves.
Publicado: Mar Sep 16, 2014 11:16 am
por Lampa
Salobreña , esos analisis de heces son de sus pájaros .. ??
gracias
Re: Fotos de análisis Coprológicos de nuestas aves.
Publicado: Jue Sep 18, 2014 7:42 pm
por JUA
Gracias MANUEL por el aviso, habra que estar preparado con la atencion y medicamentos pertinentes
Re: Fotos de análisis Coprológicos de nuestas aves.
Publicado: Jue Sep 18, 2014 10:26 pm
por cnpzipizape
Estaremos pendientes.
Gracias tocayo.
Re: Fotos de análisis Coprológicos de nuestas aves.
Publicado: Jue Sep 18, 2014 10:33 pm
por ALCHEMY
Yo ya he tenido que medicar a dos, ahora ya están bien, y eso que tengo la mala costumbre de hacerles un preventivo por estas fechas, se pasaron por el forro los coccidios el preventivo

.
Un saludiño desde Galicia.
Re: Fotos de análisis Coprológicos de nuestas aves.
Publicado: Sab Sep 20, 2014 10:32 pm
por salobreña
ALCHEMY escribió:Yo ya he tenido que medicar a dos, ahora ya están bien, y eso que tengo la mala costumbre de hacerles un preventivo por estas fechas, se pasaron por el forro los coccidios el preventivo

.
Un saludiño desde Galicia.
Hola
En realidad hay que estar alerta sobretodo con los pajaros nuevos, los pajaros de dos mudas o mas que esten sanos y con buenas defensas, es menos probable que en fermen de coccidiosis, pero los jovenes del año son tremendamente sensibles......saludos
Re: Fotos de análisis Coprológicos de nuestas aves.
Publicado: Dom Sep 21, 2014 10:52 am
por NOVATO08
Gracias Don Manuel por la recomendacion, el micro es una buena herramienta que nos ayuda mucho, aunque soy el alumno mas atrasado, tengo la habilidad de llamar coccidio al polen y viceversa

por suerte tengo al maestro que me va resolviendo las dudas.
por suerte los tengo controlados.
saludos
Re: Fotos de análisis Coprológicos de nuestas aves.
Publicado: Mar Sep 23, 2014 10:03 am
por JUA
Hola compañeros le he echo un analisis a un jilguero que esta triston y semi embolado y la verdad es que no estoy seguro de lo que veo
en las fotos, yo me decantaría por hongos pero este tema no lo veo claro se que es un muy complicado ,que hasta este momento no los se diferenciar con certeza, pongo una foto haber el amigo MANUEL ve algo en ella ,gracias de atemano
Re: Fotos de análisis Coprológicos de nuestas aves.
Publicado: Mar Sep 23, 2014 10:07 pm
por salobreña
Hola Jua
Siento decirte que en esta foto no hay nada que se pueda dislucir como hongos, ni nuiguna otra cosa que se pueda señalar como causante del problema del pajaro......un abrazo amigo
Re: Fotos de análisis Coprológicos de nuestas aves.
Publicado: Dom Oct 05, 2014 7:36 pm
por JUA
HOLA compañeros ,os cuento el otro dia me trajeron un canario que estaba muy apurado en cuanto a salud me refiero, tanto que en casa solo me duro un dia ,paso a mejor vida , estaba bien de vientre , no lo tenia hinchado las heces practica mente ya no hacia ,un una pizca que consegui coger la analice y tampoco vi nada de lo mas frecuente ,lo mas notable es que su respiracion era muy costosa abriendo el pico
continuamente como si tuviera asma ,le abri el pico para mirarle la garganta y le le vi como una mucosa blanca y pense que podría coger una muestra y asin lo hice con un bastoncillo de los oídos y estas fotos que os pongo son de esa muestra haber que os parece y si el amigo MANUEL me hecha una mano un saludo
Re: Fotos de análisis Coprológicos de nuestas aves.
Publicado: Lun Oct 06, 2014 10:29 pm
por NOVATO08
Esto esta un poco parado, me atrevo a subir por aquí algunas fotos de un jilguero sobreaño, que desde que le pase de jaula de metro a una c2 para que mude me hace las heces algo pastosas, pensé que era por la alimentación ya que en época de cría tenia mixtura buena y lo fui rebajando hasta quedar con alpiste limpio, no le falta su th indios al que e añadido orégano en polvo, ajo en polvo y espirulina.
en la muestra e visto un par de coccidios por lo que descarto que esa pueda ser la causa, pienso yo que es algun tipo de hongos o bacterias, haber si el maestro Salobreña apenas se de un tiempo logre ver algo en esta muestra, mañana le haré una tincion.
saludos
Re: Fotos de análisis Coprológicos de nuestas aves.
Publicado: Mar Oct 07, 2014 8:08 pm
por JUA
Hola compis os pongo unas fotillos mas de una canaria que tengo tiene el vientre un poco hinchado las heces son un poco claras
y su aspecto es un poco triston yo creeria que tiene una infeccion bacteriana haber cuando el amigo MANUEL pueda nos comenta
que le parece a el un saludo a toda la peña